Left main bifurcates into two , that’s the classical anatomical behavior of LCA. (Or it trifurcates) When left main divides , it tends to share its diameter between its two siblings LAD and LCX with considerable whims and fancies.(Though Finet* et all thought it has a working rule !) * From Biomedical Engineering, Cardiovascular Hospital and Claude Bernard University France
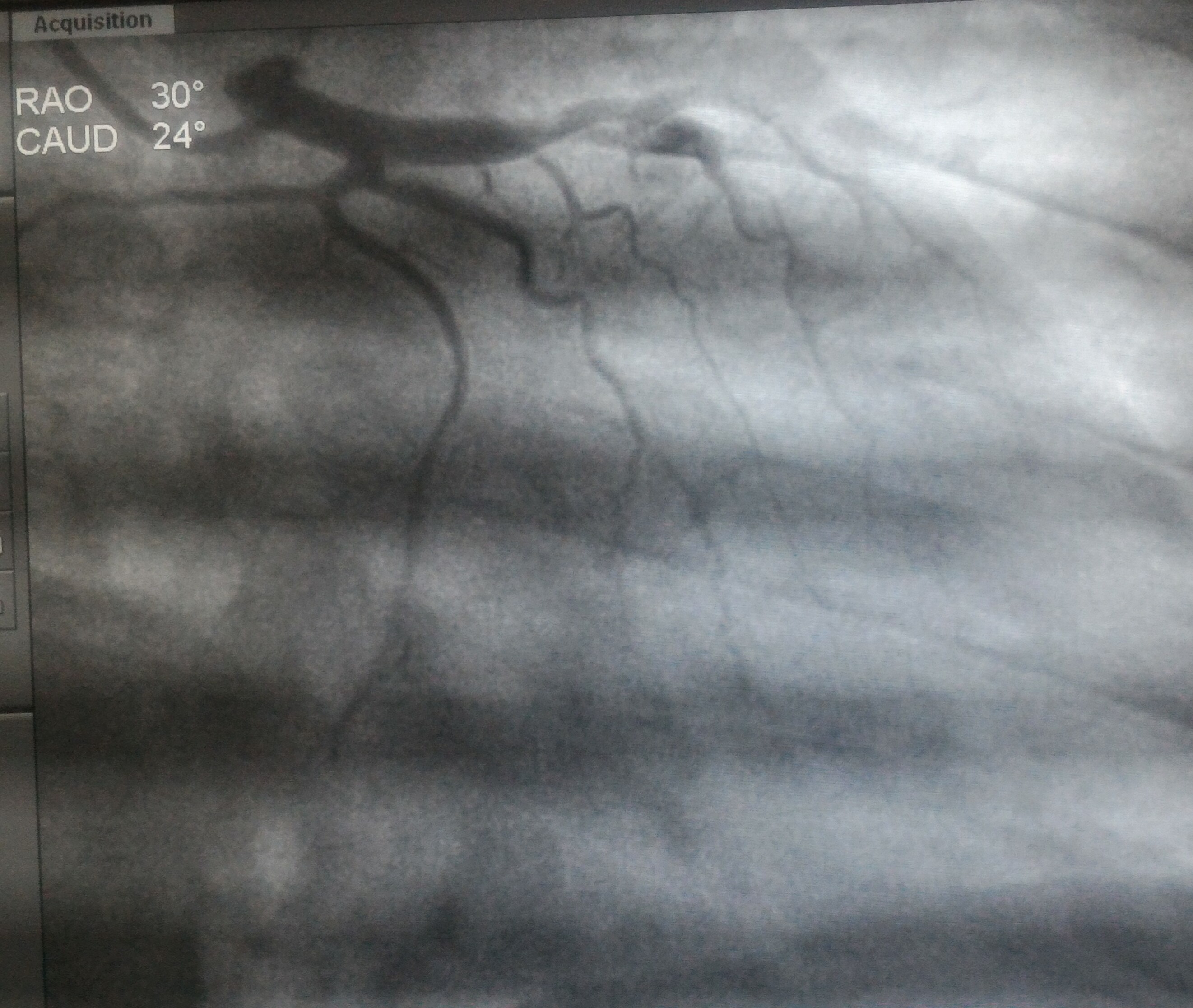
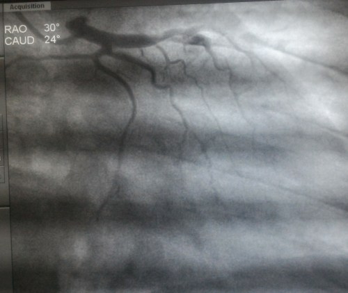
Now , have a look at this , its a rare example of how a left main might Ignore the rule of bifurcation just like that !

Left main simply continues as left main* after giving off a casual side branch from mid left main shaft .Yes , Its a innocuous looking LCX which would be non dominant as expected
LCX arises exactly mid way in left main , (Technically LAD begins at this point ) but , can you find any difference in the left main after giving off LCX branch.
Can we say left main continues as LAD without a bifurcation ?
Or shall we say left main gives off a premature early side branch ( true LCX) non bifurcating branch ?
It is an unusual anatomy and as expected , this patient had a dominant RCA .
What could be the clinical implication for such a premature LCX ?
We can only guess . May be nothing ! Obviously ,these patients are immune to develop true bifurcation lesion. Does it in any way mean they have anatomically blessed coronaries !
Reference




