A middle aged women , with acute onset left sided chest pain and ECG changes was seen by a general physician. He had little hesitation in labeling the patient as ACS( To be precious he reported the ECG as lateral wall Ischemia) and asked for an echocardiogram to rule out a heart attack (This is how cardiology is practiced in many areas) .
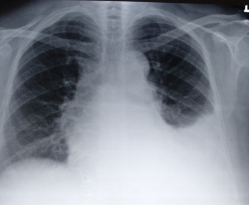
This patient came to my lab for the Echocardiogram .The echo window was poor , It showed a structurally normal heart and there was no pericardial effusion. I suspected something systemically wrong in this patient and asked for a X ray chest .
Subsequent scrutiny of this patient revealed she had moderate left tuberculous effusion. ECG changes are attributed to this. We know pericardial disease can cause ECG changes that mimic ACS. While pericarditis can elevate the ST segment. Can pleuritis without effusion cause ECG changes. What is the demarcation point between pleural from pericardial surface ?
What are the ECG features of pleural effusion ?
- Low voltage qrs.
- Poor R wave or even q waves
- QRS axis shifts are due to true anatomical / electrical shifts
- T wave inversion as in this patient
Mechanism of T wave inversion in plural effusion.
T wave represents ventricular repolarisation. To be frank I am not able to give an exact mechanism of such defects in pleural effusion.
The following mechanisms are suggested
- Left sided pleural effusion can closely mimic pericardial effusion .One can get low voltage QRS in lateral chest leads .
- Anatomically I would guess the plural fluid also hugs the heart and the inflamed pleuro-pericardial Interface (Is there fibrous continuity ?) result in some degree of epicardial interference or reversal in electrical polarity.
- The true effects of mediastinal shifts with large effusions on ECG is not clear(Lead V 3 and V4 may pick V5 / V6 signals in left sided effusions )
- Fluid altering the electrical conduction property
- Associated minimal pericardial effusion and effectively causing epi-pericarditis as a part of poly-serositis .
- After ruling out all plausibility one may think primary ischemic changes as well.
Teaching points and potential error
To label a left-sided pleuritic pain with ECG changes as ACS can never be considered as a serious error.However , rushing such patients to cath lab or lytic therapy along with heparin leads to more trouble. ER physicians should always keep in mind T wave inversion in isolation is indeed a rare cause* of ischemia. Still, as a physician first , we need to have a check list to rule out common non cardiac conditions. Pneumothorax is one another entity that can exactly mimic a STEMI with ST segment shifts and q waves.It’s also possible left sided pleural effusions produce q waves and mimic an old MI as this case report reveals.(Constatine A Manthous Chest 1993)
I think X-ray chest is least used modality in a coronary care unit for various reasons . Still ,the utility of which can never be undermined and should be used diligently .
*Of course we shouldn’t forget a sinister form of ACS referred to as Wellen’s LAD syndrome which may present with dynamic T inversion.
Reference







