Feeds:
Posts
Comments

Archive for March, 2012

I recently came across an unusual LIMA  arterial  branching pattern .

Random thoughts

  • A naturally dividing LIMA faciliates multiple sequential grafting of LAD or diagonal branches.
  • As branches steal the LIMA flow it is not good for the patient
  • Surgeons struggle to clip the branches.
  • A branching LIMA has tendency to have  small diameter (As in the above patient )

I need a surgeons Input here.

Read Full Post »

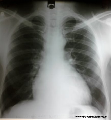
By statistics cardiomegaly   often implies  ventricular enlargement (especially left ventricular) .Right ventricle generally do not enlarge the  CT ratio until late stages .

More important  is the impact of right atrial enlargement on the CT ratio. Here was a  patient referred to echo lab for evaluation of cardiomegaly

The x-ray chest  was suggesting a definite LV enlargement.  To my surprise  the LV was perfectly  measuring a normal dimension .

The right atrium was huge and measuring  more than 5 cms . This increased the CTR.

The following illustration  tries to create echo equivalent of transverse CT diameter by rotating apical 4 chamber view by 90 degrees.

The right and left atrium was significantly dilated . This patient had atrial fibrillation and the atrial enlargement was due to chronic AF.

Final message

Cardimegaly in  X- ray chest do not  necessarily  mean ventricular enlargement.

Pure atrio-megaly  especially right atrial enlargement can dramatically increase the CT ratio.

This is not a big  discovery , still fellows need   to reinforce  this fact  , as  mistakes are most often committed in well  known things !

Read Full Post »

COURAGE , BARI 2D , JASP

What is common in all ?

These are the studies which nailed the routine PCI in chronic  stable angina . Please note these articles came in prestigious  journals more than 5 years ago.

Nobody* seemed  to listen or learn  . Now the  Archives of Internal Medicine has  come out with another punch to PCI  .

Hope we refuse to learn again   . . .  and keep the interventionist spirit high !

And for a change  read this landmark paper from Forbes

http://www.forbes.com/sites/larryhusten/2012/02/27/meta-analysis-finds-no-advantages-for-pci-over-medical-therapy-in-stable-patients/

Read Full Post »

Beta blockers are vital drugs  to limit infarct size and  facilitate myocardial salvage. Myocyte death is  prevented by reducing MVO2.These concepts originated in early 1980s when thrombolysis was not in vogue .Studies like MIAMI  and BHAT were considered landmarks.

Later on ,  when IV thrombolysis came in a big way the importance of beta blockade in STEMI  suffered a little ,  still it  held on to their  benefits.

The real problem arose when few enthusiastic cardiologists introduced early multiple blouses of IV beta blockade in the setting of Acute STEMI without realising the potential danger. (In all probability man kind must have lost many thousands  of lives with this aggressive beta blocking protocol world over for nearly a  decade !)

Fortunately  we woke up and in early 2000  , a massive study called COMMIT was  initiated  to answer convincingly the utility value of  routine early IV bet blockade. Rest is history . It clearly showed us the what we were fearing was indeed true. An unacceptably excess cardiogenic shocks were reported in the early IV beta blocker arm .In the same period of time the concept of  primary PCI  exploded and the  BBs were pushed to sidelines

It is a different story  altogether   . . .

While  the funny world of cardiology showed the door for routine early  beta blockers  in STEMI ,  it  made a stunning  U turn   in the management of CHF  , after being dumped as an  absolute contraindication  for so many years !

Still COMMIT  fails to   answer many queries

  • Beta blockers in LBBB /RBBB –     Probably need to be avoided.
  • Beta blockers in bifasicular  block –   Should  be an  absolute contradiction

How do you know  tachycardia  in STEMI is due to high sympathetic activity or cardiac reserve ?

Young men with persistent tachycardia  will do well with beta blocker started within 24  hours .

Unless there is s3 or basal rales all tachycardia are to be considered as purely inappropriate  and  adrenergic

Tachycardia in elderly, women, and diabetic especially the blood pressure hover around 100mmhg is   more often a compensatory  phenomenon.Meddling  the heart rate with BB is vested with a risk.

Finally , if you have a doubt do a rapid echo ,  if the EF is > 45% one can safely administer BBs

Should we discontinue BBs  in those who are already taking it ?

Continuing the beta blocker is  thorough the STEMI phase is adviced .(Unless specific contraindication  exists  )

Beta blocker following primary PCI

The beneficial effect of early Beta blocker even in post thrombolytic era is blunted, it goes without saying primary PCI almost nullifies these effects.

still , beta blockers is to be introduced after a successful primary PCI in all patent for long-term protection.

Final message

Do not rush into start  beta blocker  routinely following STEMI .  The  risk is not worth taking  !

Reference

COMMIT  study from Lancet 2005

ACC/AHA guidelines on Betablocker and STEMI

The following is taken from the above  guidelines   When not to administer IV beta blocker  seems  to be more relevant !

Class 3 recommendation  for  Beta blocker in STEMI (Evidence A)

1. IV beta blockers should not be administered to STEMI patients who have any of the following: 1) signs of heart failure, 2) evidence of a low output state, 3) increased risk* for cardiogenic shock, or 4) other relative contraindications to beta blockade (PR interval greater than 0.24 seconds, second- or third-degree heart block, active asthma, or reactive airway disease). (Level of Evidence: A)

*Risk factors for cardiogenic shock (the greater the number of risk factors present, the higher the risk of developing cardiogenic shock) are age greater than 70 years, systolic blood pressure less than 120 mm Hg, sinus tachycardia greater than 110 bpm or heart rate less than 60 bpm, and increased time since onset of symptoms of STEMI.

Read Full Post »

I recall the guilty days during my fellowship  where many lives were lost due to delayed or  faulty intubation  in patients with cardiogenic shock. If only these devices were available those days  . . .

It is ironical , why we took such a long time to make a  scope  to see a structure just beneath the oral cavity ,  while we were able to see remote  duodenum and jejunum  with video  scope  some 25 years ago !

Another device ,  which will come as handy would be the rapid bed side measurement of Aortic dimension .

Image courtesy : Verathan

It doesn’t require an expertise of a sonographer I believe .

Both these innovation come from  Verathan

Reference

Video Laryngoscope  &  Aortic Scan

http://www.verathon.com/products/glidescope/avlsingleuse.aspx

Read Full Post »

Cardiac arrhythmias by nature connote a serious implication ,especially  so  with ventricular ones. Here is an  arrhythmia which arise from the ventricle by excessive automaticity  ,   fires independently  ,   still  very   benign compared  to others ventricular arrhythmias.

Why AIVR is a stable arrhytmia ?

Primarily due to its low rate.

Since  it is a  reperfusion arrhythmia the outcome is good.

Mechanism

It is not due to reentry , it is thought to be due to enhanced  automaticity  without pathological  intra-myocytic  calcium spikes  (Like true VT )

Absence in surface  ECG does not mean it is not existent.  In-fact there  is some  evidence to call this arrhythmia as a form of ventricular parasystole.

Focus of arrhythmia

Since it is a reperfusion arrhythmia it has to arise somewhere from  re-perfused myocardium.

The fact that  it  can occur in both RCA and LCA reperfusion  indicate the focus can be  in any of the ventricle .

Usually it follows the reciprocal rule of bundle branch block  pattern  (RBBB in LV focus LBBB in RV focus.)

Septal AIVR  can have either RBBB or LBB morphology.   Usually  left axis is noted .

How to differentiate it from  non sustained VT ?

  • Ventricular rate in AIVR should be between 60 -110 .(Note -The inherent ventricular rate is 35/mt .There is three fold acceleration )
  • Basic idoventricular rhythm is about 35.  Three times accelerated
  • Characteristically   AIVR  starts with an escape beat rather than an  ectopic beat .

AIVR  is common  in  RCA or   LCA reperfusion ?

It is supposed to be more common in infero-posterior MI  as sinus slowing is an important predisposing factor  for releasing   the idio ventricular rhythm.

AIVR after primary PCI

Is not reported much as  current interventional  cardiologists  do not bother much to watch about this arrhytmias

Other causes for AIVR

  • Myocarditis.
  • Digoxin toxicity

Management

(The commonest issue with AIVR  could be    . . . Nurses  /Fresh interns may mistake it as VT and  pressing the false alarm ! )

  • Rarely  requires treatment .
  • Atropine ,Isoprenaline to increase sinus rate.

Read Full Post »

What will be the  pulmonary capillary wedge pressure ( PCWP ) in grade 1 LV diastolic dysfunction ?

  1. Significantly elevated
  2. Marginally elevated
  3. Usually Normal
  4. It depends upon  age, LA size and LV  function.

Answer is 3 . (Of course  it depends on  4 )  Normal PCWP  is  4-12mmhg

Are these patients with grade  1 LV diastolic dysfunction  are at  risk for  acute pulmonary congestion at times of stress ?

Probably not ( in  most )*

                                             The grade 1  LV diastolic dysfunction or defect is the most used (abused ! )  echo terminology .The diagnostic simplicity of this condition namely  a simple documentation of “a”velocity more than “e” , has made it  as an epidemic in echo labs  world wide. After all  , it reflects a simple  fact that  left ventricle  has  summoned   the atria  for assistance   (Which is  all the more  physiological   at times  of stress   !)

When does this physiology becomes pathology ?

As long as  the atria is  doing its job of assisting the LV without any fuss  ,  the mean pressure of LA(PCWP) is maintained  within  normal level . Only if the atrial function is stretched  beyond the limits ,  PCWP begins to raise.  It can happen  in a variety of  ways . Most commonly it happens   elderly hypertensive /Diabetics  especially with LVH .

It can also occur in healthy individuals when they become physically deconditioned. (Left ventricle   goes  for  disuse and find it difficult to relax)

Final  message

Isolated  grade 1 LV diastolic dysfunction in people  > 40 years   generally do  not indicate a serious  abnormality.

Only if they have DM/HT and myocardial  disease they need to be evaluated further.

One practical clue is ,  if LA size is normal one can rule out  significant  diastolic dysfunction.

Caution

* In elderly population ,   when they undergo any major  surgery ,  presence of even grade 1 LV diastolic dysfunction can be a marker for peri -operative LVF and  lung congestion .

Read Full Post »

Choosing a pacemaker  is not a child’s play . It is a  complex game played by cardiologists , electro-physiologists and their  ill-informed

patients. The  superiority of dual chamber pacing over single chamber pacing  was never convincingly proven.

Still . . . usage of  dual chamber pacing is steadily increasing over the years  for various reasons.

“Every thing hangs around a key word called quality of life . DDD pacemaker is supposed to enrich life due to their AV synchrony “

World  health organization  says  quality of life  of homo-sapiens are  determined by at least few dozen factors .They are  mostly non medical.

How an extra lead at a cost of  2000 dollars more , is  going to  provide that  elusive “quality of life”  to all those poor patients with bradycardia  in  this world  ,   which     . . . they  any-way lacked even  in their best of times  !

Scientifically also there is  a major  flaw in calling DDDR as physiological pacemaker

Read Full Post »

Read Full Post »

Clinical sense

  • First and fore most  dictum  is  not  every  prosthetic valve obstruction  is  thrombotic (Most cardiologists are tuned to think that way )
  • Pannus, Mechanical failure  and  vegetations can increase the gradient across prosthetic valve.
  • If the clinical presentation is acute (< 48 hours ) it is  more likely to be a thrombotic event .
  • History of  recent discontinuation of oral anticoagulants /sub optimal INR will favor thrombosis.

A meticulous Echocardiography is vital (TEE though gives more information in an emergency TEE is suffice )

  • Thrombolysis is to be considered in all .
  • For right sided prosthetic obstruction thrombolysis is the  initial modality of choice.
  • For left sided valve thrombosis   surgery is the preferred option .However a trial of  thrombolysis for 24 hours may be tried .
  • For a high risk mobile thrombus , thromolysis is contrandicated.

The success rate is less with Mitral than Aortic valve  . Success depend upon more on the  location / Freshness of thrombus than the type of the lytic agent used.

Is there a time window for prosthetic valve thrombolysis ?

Thrombus organisation takes 2 weeks at- least.Hence , it better not to attempt thrombolysis in documented late prosthetic valve thrombosis.

Thrombolysis of left-sided valves has inherent risk of  stroke .

Heparin controversy

Simultaneous usage of heparin along with streptokinase or TPA is  perceived as risky (No good evidence for this perception )It is logical to expect even as the thrombus  lyses the clot lots of pro-coagulant debri  are released . Concomitant usage of heparin  will definitely help accelerate thrombus dissolution. (I am glad  Joseph S   Alpert also feels the same ! )

Assessing successful  thrombolysis

  • Can be a tough task .
  • Relying purely on gradient is vested with risk of huge error.
  • In a patient with shock or LV dysfunction gradients are not reliable as low flow status masks the gradient.
  • A accelerated thrombolytic  protocol 15lakhs streptokinsae in 60 minute may be tries in unstable patient .
  • It is wiser to rapidly asses for clinical improvement in high risk subsets  and refer the  patient for early surgery .

Surgery

Prohibitive mortality reported in many centres.

It need to be remembered no surgeon will operate on a  sick patient in  shock  exposed to  cocktail of heparin and streptokinase.

Valve replacement is required in most case. Simple valve debridement  (servicing the  valve ) and releasing  discs  from the  sticky thrombus is  also possible in an occasional patient.( Do not ask reference for this !)

Reference (Surprisingly most of the good papers in the topic appeared  in JACC)

http://content.onlinejacc.org/cgi/reprint/41/4/653.pdf

http://content.onlinejacc.org/cgi/reprint/41/4/659.pdf

http://content.onlinejacc.org/cgi/reprint/35/7/1881.pdf

http://content.onlinejacc.org/cgi/reprint/35/7/1874.pdf

After thought

I have not seen a single case of acute prothetic valve thrombosis involving Starr Edwards valve  in the  last  20 years of  of clinical cardiology practice.

Is it true   . . . the new age valves  with more mechanical stress points  are proving more injurious to our patients. Our  pursuit  towards a  perfect artificial  valve need some introspection .

Read a related article in my site :  Who killed Starr Edwards valve ?

Read Full Post »

Older Posts »