Archive for April, 2012
How often Acute rheumatic fever presents with non migratory mono arthriits ?
Posted in Uncategorized, tagged acute rheumatic fever, artthargia, atypical arthritis in rheumatic fever, hip joint involvement in acute rheumatic fever, jones criteria, spinal involvement in rheuamtic fever on April 30, 2012| Leave a Comment »
Acute rheumatic fever classically involves large joints of lower or upper limbs referred to as fleeting migratory polyarthritis .But this pattern is not exclusive. In fact acute rheumatic fever commonly present with atypical features .The incidence can be up to 25 % in various series .The most surprising thing is , it can involve spinal as well as hip joints . Mono arthritis is also possible.
The only contention is , atypical features are frequently labelled by some as post streptococal reactive arthritis instead of rheumatic fever .
It is pure semantics at play . Whether you agree with the terminology or not , never hesitate to diagnose rheumatic fever when the joint involvement is atypical . If you ignore this you are bound to be guilty for damaging few hearts later.
What are the unusual joint involvement in acute rheumatic fever ?
- Small joints of the feet
- Small joints of the hands
- Cervical spine
- Wrist
- Elbow
- Shoulder
- Hip
- Thoracic spine
- Calcaneus
- Lumbar spine
The involvement of above joint can be up to 25%
Here is an excellent paper from Brazil about the huge variation in the pattern of joint involvement in acute rheumatic fever.
Kissing balloon kisses what ?
Posted in Cardiology - Clinical, Cardiology -Interventional -PCI, tagged bifurcation lesion, carina of coronary artery, kissing balloon angioplasty, medina classification on April 29, 2012| 1 Comment »
Kissing balloon is the standard technique used to tackle branch vessel stenosis . When a vessel branches out and both branches has a lesion, single balloon can not dilate a lesion optimally . This is because , the side branch not only shares a common ostial tissue but also shares plaque material within the walls of main and side vessel . Dilating one vessel alone could result in unpredictable plaque shift.
Carina is the most important anatomic structure in a bifurcation zone . It acts like a grade separator. Diverting and deflecting blood flow .The length and angle of this grade separator determine the ostial shape as well . A right angled side branch will have a circular ostium .An acute-angled branch will have oval orifice . The plaque burden and distributions at this point becomes vital for many reasons.
When we do PCI this carinal area should be optimally pressed and plastied and of course covered well with the metal struts.The simultaneous kissing with two balloons , one in main vessel another in side branch will reduce many of the issues . This area is a weak link for interventional cardiologists. It needs lots of efforts to protect the side vessel.
When do we do kissing balloon ?
Two broad categories.
- Pre-dilatation and preparing a lesion ( Not routine )
- Post dilatation is more often done .
Kissing interface : When the balloons kiss what lies in between ?
- Simple Balloon to Balloon Kissing with nothing intervening(Proximal to branch point )
- Balloon- Single layer of Stent-balloon kissing
- Carinal Kissing -Balloon -Two layers of Carinal tissue -one layer of Stent -Balloon Kissing ( See above image )
- Twin stent kissing
When do balloons refuse to Kiss ?
When there is a hard interface between the vessels like a severely calcified intima /Adventia .
Eccentric /overhanging lesions intervening.
Incomplete kiss
It need to be emphasized balloons come into contact easily in acute-angled lesions.
In right angled lesions the balloons come to contact only in the proximal part.
Definite indications for kissing ?
Kissing is not without complications . While two guide wires are placed in all bifurcation lesions , kissing is not necessary in many lesions .Of course it is a must in all true bifurcation lesions (Medina 111 , 011, 101, ) It may not be required in 1,0,0 if carina is away from lesion.
*Kissing can rarely aggravate the same issue which is supposed to prevent ie plaque shift .This is due to differential pressure transmission by two balloons.
Is there a role for twin balloon POBA without any stenting ?
Most cardiologists would not believe in POBA anyore (For wrong reasons though ! )
A distal RCA with a PDA ostial branch lesion could be tackled with twin balloon POBA.
Which balloon is to be used?
It depends on whether we use the technique as POBA, single stent or double stent technique. Non compliant balloons are ideal as it exerts more pressure on the vessel wall .
Kissing at what pressure ?
The pressure used is often between 8-14 ATM.
Experts may use differential pressure inflation depending on the lesion characters.
Which is the Most complex form of kissing ?
Two stents, two balloons . Here the interface contains two metal layers . At carnia the two metals engulf two layers of tissue as well .
Final message
Bifurcation lesions are being conquered with more success in recent years.
The techniques have refined. Stent designs and drug eluting stents are helping us in many ways.
We have learnt from our mistakes and accepted the limitations.
Wisdom prevails now , there is a universal consensus for less metal in the notorious carinal area.
Still, ignorance remains* as a major guiding force . . . when we navigate the difficult atheromatous terrains in live human coronary arteries !
*With due respects to IVUS, OCT and FFR .
**Forward looking IVUS, and camera tipped guidewires may change the scenerio.
Further reading
What-is-the-simple-approach-to-bifurcation-pci ?
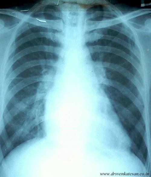
Why left heart border become straight in Mitral stenosis ?
Posted in Cardiology - Clinical, pulmonary hypertension, valvular heart disease, X ray, tagged left atrial appendage, left heart border, mitral heart, straight left heart border on April 26, 2012| 4 Comments »
Here is an X-ray of classical rheumatic mitral stenois with a mitral orifice of .8 square cm.
Why the left heart border is straight in mitral stenosis ?
It is due to 4 factors.
- Hypoplastic aorta
- LAA
- PA
- Under filled LV
Note :
- This straightening occurs only in isolated , severe forms of mitral stenosis as it requires under filling of left ventricle and Aorta.
- Significant mitral regurgitation will lift the lower end of straight line .
- In associated aortic valve lesions especially in aortic regurgitation the straightening can not occur as LV and Aorta continues to be conspicuous.
- If mitral stenosis causes severe PAH and tricuspid regurgitation , RV can become huge and form the left heart border and distort the straight line.
What does Amiodarone do to the ventricular rate in AF ?
Posted in cardiac drugs, Cardiology - Clinical, Cardiology - Electrophysiology -Pacemaker, cardiology -Therapeutics, Cardiology-Arrhythmias, Clinical cardiology, tagged amiodarone, atrial fibrllation, rate vs rhythm control affirm study, success rate of amiodarone, ventricular rate control with amiodarone on April 23, 2012| 2 Comments »
Amiodarone acts by
- Correcting the rhythm to sinus .
- Controls ventricular rate alone
- Does both ?
Answer is 3
How can it correct the rhythm alone ? If the rhythm is corrected , rate will automatically be controlled, unless Amiodarone converts AF into Sinus tachycardia which is very unlikely !
Of course Amidarone is not a magic drug .The success rate of Amiodarone restoring sinus rhythm is far . . . far less . . . than our expectations ! . It fails to convert to sinus rhythm in a significant chunk *. Interestingly , it may still control the ventricular response by its beta blocking action .
*Our estimate is , the failure rate Amiodarone is between 30-40% or even higher , as bulk of AF we witness is due to Rheumatic heart disease.
Which is the best drug for ventricular rate control in atrial fibrillation ?
Posted in Uncategorized, tagged digoxin and atenolol for ventricular rate control, rate control in atrial fibrillation, ventricular rate control in atrial fibrillation on April 23, 2012| 1 Comment »
Which is the best drug for “ventricular rate control” in atrial fibrillation ?
- Digoxin alone
- Diltiazem alone
- Atenolol alone
- Digoxin +Atenolol
- Digoxin + Diltiazem
The answer is 4.
This is based on a study done by Bramh N Singh and his team from California published in 1999 . (http://content.onlinejacc.org/cgi/reprint/33/2/304.pdf )It was a wonderful study involving just 12 patients , still good enough to prove a point . It was a sequential cross over study a rare theme in medical trials ! where same patients act as control .Hence bias and host variations are nil. Few excerpts from the study .

It is very clear, for optimal rate control we need a combination regimen , Digoxin must be one of them .Atenolol combined well with Digoxin , even as though Diltiazem resulted in maximum dip in nocturnal heart rate.

Digoxin + Atenolol is clear winner in rate control during exertion as well ! Note Digoxin has absoutely no control over the heart rate at times of exercise !
Few thoughts about this study
This study has clearly documented superiority of combined drug regimen for rate control in AF .
Still it leaves a lingering question ! Why verapamil was not used as an agent in this study ?
If only , verapamil was used (As we do in our hospital ) Digoxin -Atenolol combination would have faced a really tough competiton.
Another curiosity is , what would have been the power of a unique combination of Atenolol and Diltiazem in controlling ventricular rate in AF ?
Any way , it was a wonderful cross over study . Such studies are a rare breed , always welcome in this world of funny pharma trials wherein a new drug is compared with a dud drug called placebo !
Now . . . Try this one
Amiodarone
- Corrects rhythm
- Controls ventricular rate
- Does both ?
How can it correct the rhythm alone ? If rhythm is corrected , rate will automatically be controlled unless Amiodarone converts AF into Sinus tachyardia !
Of course Amidarone fais to convert to sinus rhthm in many , still it may control the rate by its beta blocking action.
Reference
What are the therapeutic targets in Ventricular tachycardia
Posted in cardaic physiology, Cardiology - Clinical, Cardiology - Electrophysiology -Pacemaker, cardiology -ECG, cardiology -Therapeutics, Cardiology-Arrhythmias, tagged bbr, bundle branch vt, dc shock, icd ablation, scar vt, ventricular tachycardia on April 22, 2012| Leave a Comment »
Ventricular tachycardia is a major cardiac electrical disorder. Even though it connotes a deadly meaning the prognosis and outcome vastly vary.It can be a benign arrhythmia in structurally normal heart that present as occasional fasicular VT or Exercise induced RVOT , to dangerous ischemic polymorphic VT which rapidly degenerate to VF and SCD if not reverted . It is ironical we are trained to put all VTs in a single basket and propagate fear psychosis among physicians and patients .
Management of VT has certain broad principles.
- Identify the cause
- Whether specific structural heart diseases present or not
- Identify the mechanism if possible
- Rule out transient metabolic cause as a trigger
Therapeutic targets
- Stabilising the cell of origin
- Passifying the scars
- Interrupting bundle branches in BBR mediated tachycardia
- Ischemia related Focus – Re-perfusion
- Reversing LV dysfunction
Management
General
- Correct Cell hypoxia /Acidois
- Pharmacological ( Class 1A/1B /1C , class 3 and Beta blockers , Magnesium )
- Role of beta blockers for VT management is largely under recognised.It has an important role to play in both acute and chronic VTs)
Electrical (DC shock ,Ablation and ICD)
- DC shock is treatment of choice all emergency VTs
- Ablation aims at preventing episodes of VT .Ablation needs EP study and expertise of an electro physiologist.
- ICDs revert it only after the VT emanates from the focus . ICD can be implanted without knowing the focus .May not require a EP consult.
Surgical
CABG + Surgical scar excision , Aneurysectomy might help in certain refractory VT.
What is the mechanism of loud first heart sound in mitral stenosis ?
Posted in Cardiology - Clinical, valvular heart disease, tagged loud first heart sound in mitral stenosis, lv contractility and intensity of s 1, lv dp/dt and mitral stenosis, lv la pressure cross over on April 19, 2012| 8 Comments »
I wonder this question is being asked over many generations in medical schools , yet to be answered clearly. The traditional explanation given is ” mitral valve is kept open wide till onset of systole and it closes with a bang due to a long excursion it has to make ” This concept is no longer tenable and acceptable ( For the simple reason if the valve is wide open . . . hemodynamically significant mitral stenosis cease to exist !)
There are two major factors that determine the loudness of S1 in mitral stenosis
- Hemodynamic
- Valve structure and morphology
Mitral valve closes whenever the ventricular pressure curve crosses above the LA mean pressure . This is the pressure crossover point (LV/LA) .
In normal persons it happens very early after the onset of ventricular contraction .(ie the LV pressure has to raise only to about 8-12mmhg . At this point the LV pressure curve has certain force of contraction (Dp/Dt) .Since in mitral stenosis the mean pressure is raised well above normal (Often 20-30mmhg) the LV pressure cross over point is slightly delayed and more importantly occur at a higher slope of LV pressure curve . Even this slight delay adds a punch in the ventricular contractility .The impact of LV contractility on mitral valve closure especially the AML is forceful .
(Imagine the force of impact of a stone hitting you from a distance of 1 meter from above , is different from a stone hitting you from 10 meter above as it gains the momentum )
The second phenomenon is probably more important as it involves acoustics the final step in the genesis of loud S1 .
The mitral valve need to be not only pliable but also the conduction properties should be intact.
Acoustic principles state that even a speck of calcium in the AML can dampen the sound that is generated by leaflet motion.
(Try touching a speaker cone while it is playing .The sound immediately drops and dampens.)
Similarly for S1 to be loud the valve should pliable without any significant calcification or extreme rigidity or subvalvular fusion .)
It is important to realize the PML contributes less to the intensity of S1 . Hence even if some calcium present in PML it won’t affect the intensity of S1
Other important factors that affect the intensity of S1 include
- LV function ( Onset of LV dysfunction elevates LVEDP reduces the net gradient across mitral valve )
- Presence of mitral regurgitation .
- Aortic valve disease (Especially AR )
- Heart rate
- Rarely associated Tricuspid stenosis make T 1 component of S 1 louder
Final message
The loud S 1 is due to both physiological and anatomical factors of mitral valve .The condition of valve may be more important for the simple reason , whatever be the hemodynamic predispoistion for loud S1 , the prevailing valve morphology has a potential to nullify it !
Acknowledement
The image modified from http://www.texasheart.org
Unusual presentation of STEMI : Mobitz type 2 AV block
Posted in cardiology -ECG, Cardiology -Interventional -PCI, cardiology -Therapeutics, cardiology- coronary care, Cardiology-Coronary artery disese, tagged stemi, STEMI WITH av BLOCK, THROMBOLYIS IN LBBB, TROPONIN GUIDED THROMOLYSIS, UNUSUAL STEMI on April 18, 2012| 2 Comments »
A 55 year old man came with a BP of 1o0/70 with vague symptoms of back pain to our ER.
Troponin T was positive
Can we thrombolyse ?
There is a minimal ST elevation in inferior leads but not amounting to the required criteria 1 mm
Technically No , Academically yes , scientifically No , logically yes
*I wont thromolyse but i will take him to cath lab maybe the modern answer
What we did ?
We did neither !
Just observed in CCU with heparin infusion , Aspirin and clopidogrel .
Serial ECGs were taken .

And now . . . after 24 hours a new complete heart block appear with classical evolved pattern of inferior MI.The most interesting feature is patient has been comfortable all along even as his posterior aspect of heart is experiencing terrible electrical earth quakes.
Is troponin Guided thrombolyis an accepted concept ?
Yes , only in few situations like , posterior MI , LBBB , pacemaker rhythm, re infarction .(Note , true posterior MI do not elevate the ST segment but depress it ) .
One may be surprised why we shouldn’t lyse a patient whenever troponin is elevated in acute coronary syndrome (After all it denotes myocardial necrosis and infarct !) The point here is , troponin can raise in all forms of MI (NSTEMI, even in some cases of chronic stable angina ) Read in this link Why thrombolysis is contrindicated in UA/NSTEMI
The benefits of thrombolysis is not proven in small and micro infarcts. ECG ST eelvation remain the sole criteria for thromolysis for STEMI because of high degree of correlation with total coronary occlusion .
In this era of rapid interventions the treatment concepts has blurred as we tend to do PCI and stenting most cases of ACS including UA/Unstable angina
OK , what happened to this patient ?
Temporary pacer was kept stand by with a sheath and catheter in situ.
Next day morning AV block disappeared .Patient was comfortable .
To our surprise , in the same evening his ECG showed a complete heart block with AV dissociation . Still the heart rate was good . The demand temporary pacemaker didn’t take over .
On the third day , every conduction disturbance disappeared and patient was sent to the wards. He is being discharged in a stable condition with std drugs .there was a minimal wall motion defect in infero-posterior segments with an ejection fraction of 50 % . He is scheduled for coronary angiogram 2 weeks later.
What is the pathology ?
Pathologicallyit could be a small focal area of Infarct incidenataly invloving the AV node .(This is alss refered to as vital area Infarct” )It is hard to differentiate whether AV block is due to revrible ischemia or necrosis , simple tissue edema , high vagal tone . or combination of above .If the block recovers it can be concluded necrosis is not the dominant theme.
Final message
STEMI presenting primarily as heart block is less common . When such a presentation occurs extra caution is required.
Many of these patients may not show a classical ST elevation and hence do not permit us to thrombolyse as per criteria.
It is the individual physician’s discretion to do so ( or not to do ! ) . No body is going to fault. After all 5 % of thrombolyis world over is for benign early repolarisation syndromes.
The above description is an example of complicated inferior MI . . . still managed effectively by conventional methods.
Further reading
Why inferior MI is considered Inferior ?
When knowledge becomes Ignorance . . . science is set to grow fast !
Posted in bio ethics, medical quotes, tagged dr s venkatesan, ethics and medicine, venkat quotes, venkt quotes on April 17, 2012| 3 Comments »














