Feeds:
Posts
Comments

Archive for October, 2024

This study was released in NEJM without much fanfare at the fag end of the last century, (rather the millennium) in 1999. Dr. Bertram Pitt and his team scripted this from the Department of Medicine, University of Michigan School of Medicine, Ann Arbor, USA. One can’t expect even in your dreams a study like this would be be done in the future.

This study tested PTCA vs with a single lipid lowering drug in terms of plaque regression. This conclusion is explicitly illustrated here, and the dramatically dissociated Kaplan and Myers would tell the whole story.

Can you name this trial that can withstand any period of time?

One clue : We do prescribe this drug every day and it beats angioplasty. Some of you may have got it right. Yes, It is the AVERT study: Atorvastatin versus revascularization treatment.(Ref 1) that dare to compare PTCA with a humble statin one to one, and we found the winner long long ago. This study also defined the bench mark for dosage of high intensity Atrovastatin at 80mg/per day.

Final message

I am sure, many of the current generation cardiologists may not know about this study and the conclusion might amuse them as well . The truth is , It deserves a 25-year anniversary celebration. Wishes and congratulations to Dr. Bertram Pitt.

Reference

Pitt B, Waters D, Brown WV, van Boven AJ, Schwartz L, Title LM, Eisenberg D, Shurzinske L, McCormick LS. Aggressive lipid-lowering therapy compared with angioplasty in stable coronary artery disease. Atorvastatin versus Revascularization Treatment Investigators. N Engl J Med. 1999 Jul 8;341(2):70-6. doi: 10.1056/NEJM199907083410202. PMID: 10395630.

Read Full Post »

Here is an attempt for a brief answer that starts with query.

1.The mechanism of LBBB in DCM is

1.Discrete proximal LBBB

2.Diffuse distal LBBB

3. Myocardial LBBB (It is just a LBBB morphology in ECG, due to delayed conduction and not a true LBBB )

4. It is always a combination of any of the above three components.

Answer :Either 3 or 4 should be the answer I think .It need to be reminded, the etiology of cardiomyopathy plays a crucial role in determining the cause of LBBB. In ischemic DCM, it could be localized necrosis and scarring . In infiltrative disease like sarcoid or Amyloid it is patchy destruction of conduction system. In idiopathic or genetic DCM, it could be a defect in various forms of structural or functional Inopathy.

2.Does LBBB gets corrected by left bundle branch pacing ?

No, it doesn’t correct it in all . This fact, by itself tell us what could be the true mechanism of LBBB in dilated cardiomyopathy. In selected patients with discrete proximal LBBB the strength of the pacemaker stimuli might breakthrough the block. Though the concept longitudinal splitting of left bundle and the proximal pre-destined left bundle fibre disease is attractive, mind you, bulk of LBBBs are diffuse. LBB pacing can’t work in majority of these patients.

Hence, it is largely a desired assumption ,that LBB pacing could correct the LBBB and restore the defective synchronization . It is true pacing near the bundle branches carry better chance of synchronous contraction, provided distal circuits are perfect. (Which is more often, not the case) Unfortunately, while technology allow us to replace a defective valve or even transplant a entire heart. we can’t replace a defective ventricular electrical circuit board with a brand new printed Purkinje network in lieu of the diseased one. At best, we can try to stimulate the heart it two or three sites . (Mind you, the natural Purkinje network runs for few kilo-meters of indicate wiring)

Is LBB area pacing or CSP a real Innovation ?

May be yes. But, until the the mechanism of LBBB in a given patient with cardiac failure is completely understood , we can’t choose a right mode of pacing and re-synchronisation modality. Unfortunately ,there appears to be a herd mentality, gradually creeping in many of us, to jump over from traditional RV /RA pacing to the bundle branch area pacing , as an alternative to CRT or even regular bradycardia pacing.

There is less compelling academic reasons to change, than we think. There are lot of, ‘if and buts” in this Innovation.

It is worth-while to wait, watch and think before we adopt this modality for mass consumption in heart failure with wide qrs complex.

Read Full Post »

This book is dedicated to all those amazing scientists of the past & present who laid the foundation of modern medicine with their selfless hard work. Footprints of their legacy can be felt in everything we do in our daily clinical practice.

Hope, at least few of the readers get inspired by this book. It is available in both print and kindle versions. Let me state, with all honesty, this book is written with zero commercial interest. ( I guess , publishers somehow read my mind .The agreement clearly says the author can get only about 25 % the sale value of a book. That’s fine. May be it will help running this website.

Surprised to find the book in this month’s best seller in Medical history category . I don’t know how is this possible ? as the total number copies sold are still less than 100, since published !

Read Full Post »

Some two decades ago, we, the cardiology community started writing guidelines, recommendations, protocols, whatever you call it, in managing specific clinical problems in cardiology. In this model, there is a class of recommendation supported by different level of evidence. This concept looked perfectly scientific, futuristic, and grew so well .It has been considered the de facto standard of practice.(Still it is) A few years ago, these guidelines were made more attractive and user-friendly by color-coding these guidelines.as green, yellow, orange, and red, akin to traffic signals.

In the same decades, as we glorified these guidelines, the rate of inappropriate intervention parallelly raised. Every global forum talk about reducing unnecessary treatments, and improving the cost-effectiveness. It is explicitly clear the purpose of these glorified guidelines in the last 20 years were spectacularly defeated.

When we think for few moments, who or what could be the culprit ? , one can realize easily the same guidelines turned out to be the culprits, by giving a room and liberty to cardiologists to drive through cath lab, crossing the yellow and orange signals . In my perception, very few cardiologists thinks 2B is a relative contraindication. and 2A is just a shot of chance. Why then ?, they should get a prime place in the recommendation chart. How many of us realize, these complex guidelines (? inadvertently) acts as a “temptation amplifier” to many ,energetic skilled, go get it, cardiologists.

A reality check

Many of my colleagues find no wrong in doing other than class 1 Indication . They justify it by saying they offer the benefit of doubt (or as off label usage) to their patients. No one talks about harm that comes out of same doubting. Right now, when we analyzed( mostly reliable personal info sharing) up to 50-75% procedures in cath lab are done by physicians who cross either orange, yellow, or even red signals. Fortunately or unfortunately , there is no officers on cath lab highways to give a ticket or to capture evidence. Only our conscience remain the CCTV.

A 10 second animated solution to a vexing ethical dysfunction in cardiology

Final message

What shall be done to improve the appropriateness of the treatment Interventions ?

There is a simple solution is readily available, but I am sure it is never going to happen .

Like any walk of life a hidden culprits are easy to catch, but it is so difficult if is seen right in front of you”

Let ACC, ESC, SCAI, HRS, & CSI all sit together and debate to get rid of all those confusing and contaminating clutter in the guidelines, and retain only the class 1 and possibly Class 2A .

Counterpoint

Guidelines are written with a clear application of mind ,taking into account of available evidence and growing science, Hence indications are dynamic. Class 2B can become Class 1 , While even a Class 1 can become a Class 3. So we have to take a chance and live with it. May be some truth in it. But the issue is beyond this . We know, as of now there is no true restrictions in spite of the guidelines. It is a secret truth a huge number of late PCIs, CTOs, Mitra clips, LAA devices, AF ablations are performed under the Orange -red border zone.

Read Full Post »

A new Intelligent thrombo-suction catheter system , is being introduced for treatment of acute pulmonary embolism .This device regulates the force with which thrombus is sucked , with less injury and bleeding and better outcomes.

Human studies & Evidence

The experience from this device was presented in ESC 2024 London . Intelligent CT vacuum aspiration thrombectomy system : ALEKSANDER A. et al from Poznan University Of Medical Sciences, Pozna POLAND

What to know more about this device ?

It is from the technology leader company


Penumbra vs JETi hydrodynamic thrombectomy system

Abbot is seriously worried about this innovation , as it directly competes with its JETi system . It has come out with a competitive comparison between these two. No surprise , what we can infer from this video clip.

Final message

There is punching evidence*, that tell us routine thrombus aspiration in ACS is counter productive. However, these thrombus aspiration devices continue to be a multi billion dollar Industry in non- coronary locations. They have become a Integral tool kit in peripheral arterial, venous and also pulmonary thrombosis .We can expect more Innovations in this arena.

Read Full Post »

Cardiac resynchronization (CRT ) as a modality for severe or refractory cardiac failure patients with wide QRS complex, is practiced for nearly two decades. It works on the principle of aggregating mechanically wasted and disorganized myocardial contractile force into a coherent forward pushing activity. This is done by stimulating the heart at strategic points by inserting wires. In the process, CRT improves the ejection fraction and possibly reduce mitral regurgitation.

Still, the optimal benefit of CRT concept has been difficult to extract from this device. The primary reason is, the LV epicardial lead pacing site was pre-selected by the coronary sinus anatomy. This has made the whole concept of RV-LV synchronization a futile exercise in many. No surprise, non, poor responders or even adverse responders were as high as true responders.

What is new in CRT ?

While one group of electrical scientists is trying hard to create evidence that conduction system pacing (CSP) is equivalent to CRT, that is devoid of procedural complexity of CRT. We now have one more technology, on the verge of approval by the FDA . This uses tiny leadless endocardial electrodes in well-selected sites within the chamber of LV .

free from scars. This can be done with aid of with intracardiac echo imaging. This electrode is stimulated by self-generated electricity from an external ultrasonic waves transmitted from the surface of the heart.

This weeks JAMA has reported an encouraging results with this device .The study documented reduction in end systolic volume by 16% and the ejection fraction as well. (Red 1)

What about totally leadless CRT ?

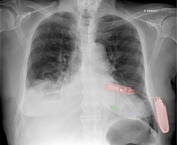
Yes it’s in the offing. Micra device which is lead less RV pacing system is being combined with WiSE CRT, making a totally leadless CRT a possibility. .

A patient chest X-ray showing both Micra and WiSE-CRT systems. Green: Micra leadless pacemaker; blue: WiSE-CRT system LV endocardial electrode; and red: WiSE-CRT system subcutaneous battery and ultrasound generator. CRT, cardiac resynchronization therapy. (Carabelli A, Jabeur M, Jacon P, Rinaldi CA, European experience with a first totally leadless cardiac resynchronization therapy pacemaker system. Europace. 2021 May 21;23(5):740-747. )

Final message

WiSE CRT uses some revolutionary technology and it is a welcome addition in few eligible patients. However, advanced heart failure therapy never means it can be achieved only by state-of-the-art technology. Cardiac failure management remains basically disciplined medical management and a holistic approach to improve the quality of life. Only few lucky patients end up getting heart transplantation, the ultimate treatment.

One of my patients said he reduced his weight corresponding to his reduction in ejection fraction and he now walks double the distance than before. The answer is that simple; you can use a 100k device and try to walk 30 meters extra or use the free option.

Reference

1.Singh JP, Rinaldi CA, Sanders P, et al. Leadless Ultrasound-Based Cardiac Resynchronization System in Heart Failure. JAMA Cardiol. 2024;9(10):871–879. doi:10.1001/jamacardio.2024.2050

2.Okabe T, Hummel JD, Bank AJ, Niazi IK, McGrew FA, Kindsvater S, Oza SR, Scherschel JA, Walsh MN, Singh JP. Leadless left ventricular stimulation with WiSE-CRT System – Initial experience and results from phase I of SOLVE-CRT Study (nonrandomized, roll-in phase). Heart Rhythm. 2022 Jan;19(1):22-29. doi: 10.1016/j.hrthm.2021.06.1195. Epub 2021 Jul 29. PMID: 34332966.

Read Full Post »

In one sense, meta-analysis would come closer to a milder form of ethical plagiarism”


Can meta-analysis really be called as original scientific research ?

No it is not, but some may say yes. It is very difficult to dispute either. But, the fact of the matter is, meta-analyses are not a true science of innovation. It is using some others’ work( sort of intellectual steal ?) done by a group of scientists interested in the same research topic, trying to squeeze more info from these studies. It is a glorified group journal club activity.

Image source & Courtesy http://www.inquasar.com

At best, meta-analysis can be referred to as knowledge and evidence aggregation. Surprisingly, mostof the academia seems to give more weight to meta-analysis, disproportionately more than the original researchers. This is because meta-analytic scientists backed by big journals claim, they can bring out more info out of the original. The assumed scientific superiority of meta-analysis is expected to be downgraded soon, as these sort of evidence aggregation can be done easily by any AI-powered engines. Network meta analysis, by dedicated medical scholastic AI networks can do this in a fraction of a second.

Meta analyses as of now is sitting proudly as crowning glory at the top of evidence pyramid. This is one of the reasons for the false glory surrounding anyone (or anything ) associated with meta-analyses. I doubt whether it really deserve the top slot. (An excellent debate between RCT vs metanalysis) Wish, the meta-analysis taste its own medicine at least once. We need to have a meta-analysis to show it is really superior to other forms of evidence. I cant find one as yet.

What about systematic review ? This looks better, as it has less statistical content , and the researcher is at least compelled to go deep and get enlightened on the topic as they spend months together on the topic.

How is meta analysis different from original research?

There is no new data collection ,no primary hypothesis testing . It primarily focus on summarizing existing evidence. To do it properly, there are certain standards.

  1. PRISMA (Preferred Reporting Items for Systematic Reviews and Meta-Analyses)
  2. Cochrane Handbook for Systematic Reviews of Interventions
  3. MOOSE (Meta-analysis of Observational Studies in Epidemiology)

Ref :Finckh A, Tramèr MR. Primer: strengths and weaknesses of meta-analysis. Nat Clin Pract Rheumatol. 2008 Mar;4(3):146-52.

Positive side of metanalysis

While meta-analyses aren’t original research, it’s a crucial tool for evidence synthesis, research translation informed decision-making.

Flaws of metanalysis

It is a academic business with done studies. So it is 100% retrospective. It might come with irreversible errors. Unless every error in the past studies is accounted for and curated the result of meta-analysis, it can never be foolproof.

Should we get permission from all the authors who did their original studies before doing a meta-analysis?

As long as fair use criteria applies there is no need , but a moral obligation is definitely there . Other wise metanalyses will come closer to a milder form of academic plagiarism of others’ work. (Of course legally and scientifically approved)

Final message

In the world of true scientific research, meta-analyses can not be considered as great scientific work. It is just evidence aggregation, which of course could be meaningful if and only if the studies taken were done properly.

However, meta-analysis has undisputed value in aggregating rare cases, scenarios, diseases, and problems where there are very few published studies. Collecting them together in an organized fashion serves a real good purpose.

Reference

1.Pearson K. Report on certain enteric fever inoculation statistics. Br Med J. 1904;3:1243–6.

2 Smith, Mary L.; Glass, Gene V. (1977). “Meta-analysis of psychotherapy outcome studies”. American Psychologist32 (9): 752–760. doi:10.1037/0003-066X.32.9.752.

3. Eysenck, H. J. (1978). “An exercise in mega-silliness”. American Psychologist33 (5): 517. doi:10.1037/0003-066X.33.5.517.a.

Read Full Post »

If God is so kind , he could have kept HDL around 130 to 160mg and LDL to be around 30 to 50 mg.

Why he hasn’t done that ?

Is he so unfriendly to human beings ? Our intellect really believed so.. Since God has not addressed this issue , we decided to work against his wish, and tried to reverse the molecular harm with a variety of molecular weapons to bring down the LDL closer to HDL. The enlightened thinking is, if LDL and HDL are brought around the same level of around 50mg , good and evil will have level playing ground , hoping goodness will win over the evil .Our vast vascular tree will have perfect lipid house keeping system and atherosclerosis will cease to occur.( Some even thought we can altogether kill the LDL and make it zero!)

Nature (God) has created every molecule with a dedicated function. Labelling of cholesterol as Good and bad , are immature scientific conclusions. No molecule is bad or good when looked at a overall sense of body homeostasis . Of course, body do have toxic molecules that are periodically excreted on moment to moment , or day to day basis by respective systems. Lipid metabolism also has regulatory system in place. However, the lipid -endothelium interactions are too complex .

Can any one believe this as truth, that there is little correlation between circulating blood lipids with arterial plaque lipids ? It is for the sake of simplicity we used term good and bad lipids that has become a false fact. It is worth noting the attractive option of raising good HDL by means of drugs proved disastrous to the vascular endothelium. Also mind ,if HDL exceeds 60mg it starts injuring the cells.

Final message.

Remember ,there is no intravascular war going on between good and bad cholesterol . Please realize both molecules are good and exists for some specific purpose. In perfect health, there is never a hurry to tamper the harmonious body by drugging them with sophisticated new molecules loaded with unknown good and harm . (Does it remind the famous Osler’s quote,? If Sir Osler tells the same quote now ,he is definitely at risk of heavily trolled even by the academia)

Post-amble

In coming decades we can expect a barrage of anti LDL weaponry working at the level of small interfering or micro RNAs, within the cells. As I am writing this on October 7th , 2024 Nobel prize is being given to Victor Ambros and Gary Ruvkun, the team from UK & USA discovery of micro RNA .Congratulations.

Read Full Post »

An evidence less quote about EBM

Read Full Post »

One of my colleagues was joking ,nowadays patients force us to read or even educate us . I completely concurred with him.


Doctor, do you have any investigation to know how much is the plaque burden in my coronary artery?

Yes. Sure , we have many modalities, right from CT calcium , OCT, IVUS, NIR, etc.

How would I know , which one of them is high risk and vulnerable ? I recently read in Forbes Sunday health supplement, It says ,it is better to know the thickness of the cap covering the plaque. It further says, about the risks of having a thin cap .(TCFA-Thin cap fibro atheroma.) Can you prescribe some tests to find out the thickness of these caps doctor ?

There you go, into the perils of hyper- education of modern society. So, you want me to teach you the molecular biology of Atherosclerosis ,right ?


Yes, now cardiologists and basic scientists are armed with unprecedented tools of intra-coronary imaging, like OCT, IVUS, NIR spectroscopy, etc. to decode the histological, biochemical, pathological secrets within the atherosclerotic plaques. Atherosclerosis is not a worrisome issue as long as it is contained deep within the vessel wall and doesn’t encroach the lumen. However, plaques, which are close to the lumen, are more prone to empty its contents into the lumen by a fissure or rupture triggering an event. In that sense, you have a reason to worry about TCA. Itis very much logical to expect the cap hat covers the plaque to protects and reduce the risk of its rupture.

This was a very attractive concept and we were able to analyse it with intracoronary optical coherence light-based imaging. For some time we really felt TCFA is really a marker of vulnerability. Now, we realize the concept of TCFA, has a thin layer of truth intertwined in a thick layer of myth .(Lee KY, Chang K. Understanding Vulnerable Plaques: Current Status and Future Directions. Korean Circ J. 2019 Dec;49(12):1115-1122. doi: 10.4070/kcj.2019.0211. )

In physiological state ,it is amazing to note, how a single layer of endothelial cell is able to withstand a lifetime of vascular stress. A plaque is covered by a thin cap that includes a endothelium (In tact in many plaque) While this layer is good enough to protect exudation of its content irrespective of the nature of lacquer content. A contrasting corollary is , a much thicker Aorta dissects without even a plaque if the pressure injury is more. TCFA are stressed from both abluminal and luminal aspect. Does it balance these forces ?

TCFA are defined as fibrous caps with less than 65 microns . The importance of this thickness is being questioned for two reasons now.

1,Technoloigical limitations of measuring cap thickness : False positive thin caps , false positive thick caps are equally common.

Factors influencing cap thickness

1.Superficial macrophages, ,

2.Loose connective tissue,

3.Punctate foam cells, and

4.Smooth muscle cell infiltration of the fibrous cap

5.Tangential light dropout(Ref 2)

2.The second one is a more fundamental flaw in our understanding. TCFC, after all could be just as innocent as any other plaque. This is based on the observation many of the thin capped plaques remain indolent while thick capped become a culprit . Cap thickness is just one of potential parameter of vulnerability, but many others known and unknown factors and forces operate on the plaque and make this TCFA simply irrelevant.

Some queries for advanced readers

What are the chances of a Thick cap fibro atheroma (ThCFA) getting ruptured ?

65 micron is not God prescribed cut off point . A simple adrenaline surge and eccentric plaque shoulder can be destabilized. A sudden shearing stress of intracoronary hypertensive spike can crack a 650 micron cap. On the contrary, even if the cap is thin , but the content it holds are non-necrotic , rupture is rare event and vice versa.

What are biological events that follow the rupture ?

Not every rupture leads to an ACS. The highly armed anti-coagulant and anti fibrinolytic system has enough resources to clear of the contents.(Unless it is over-whelmed ,which can be called as an act of God or a response to our past deeds)

Relationship between CT calcium score and TCFA

It is highly plausible, high calcium in plaques indicate, most caps are thickened and hardened. Though calcium score is a popular estimate of plaque burden, it is still a weak link to our ignorance and knowledge towards prevention of cardiac events.

Does TCFA prone for more coronary erosion ?

Though logic would suggest so, it appears , there is no meaningful relationship between them.

Does statins increase Thickness of TCFA ?

Yes. They are claimed in many studies. This is important, all patients need to take Statin to stabiles the plaque overall (Takarada wt al. Atherosclerosis. 2009 Feb;202(2):491-7.) More recently PCSK blockers Alirocumab was shown to increase TCFA at lesion levels study by NIRS (PACMAN-AMI study)

Final message

Coming to the question raised by the patient . My frank reply would be

“Never worry my dear patient total plaque burden or calcium scores. I would say, even the fear-mongering with blood levels of lipid sub-fraction, is an exaggerated state of pathological health consciousness. Life is short .We have better things to accomplish. The least we can bother in our life, is how to increase the thickness TCFA. Even if we find the total numbers of TCFA, what are we going to do with that info? My guess is ,the propensity of TCFA to damage your heart is 1000-fold less than the anxiety (associated with it) eroding some other innocuous plaque .

The chances of plaque misbehavior is as unpredictable as, the probability of a scale 4 Richter quake striking and shaking the basement of your house. So, instead of worrying about these TCFAs, concentrate on your work, about your lifestyle, stress, eating habits, and stop reading too much from all these health supplements. After all, please remember much greater men like Abraham Lincoln and Mahatma Gandhi lived a stellar life , in the grand old era when no one knew what was cholesterol and lipids.”

Reference

1.van Soest G, Regar E, Goderie TP, Gonzalo N, Koljenović S, van Leenders GJ, Serruys PW, van der Steen AF.Pitfalls in plaque characterization by OCT: image artifacts in native coronary arteries. JACC Cardiovasc Imaging. 2011; 4:810–813.

2.Phipps JE, Hoyt T, Vela D, Wang T, Michalek JE, Buja LM, Jang IK, Milner TE, Feldman MD. Diagnosis of Thin-Capped Fibroatheromas in Intravascular Optical Coherence Tomography Images: Effects of Light Scattering. Circ Cardiovasc Interv. 2016 Jul;9(7):10.1161/CIRCINTERVENTIONS.115.003163 e003163. doi: 10.1161/CIRCINTERVENTIONS.115.003163. PMID: 27406987; PMCID: PMC4946571.

Read Full Post »