Feeds:
Posts
Comments

Archive for November, 2012

CABG surgery is the commonest cardiac surgery done world wide .Right from the days of CASS study the  CABG was considered a major traumatic surgery to relive a small block in a coronary artery  (Not exactly relief  . . .it  just by-passes )

However , for more than two decades  till early 1990s CABG ruled supreme.Ever since coronary stenting grew in an  exponential fashion  the outcome of CABG  needed scrutiny .Surgeons had a compulsion  to explain  the world , CABG indeed has a  acceptable risk benefit ratio in the management of CAD .

Thus came the EUROSCORE  . First developed in 1995 .The initial score used a simple additive risk next it was modified

with logistic regression .

Limitations

Can you withhold  a surgery on the basis of high EUROSCORE  ?

Is it scientifically validated ?

EUROSCORE gives us  30day mortality

What is the acceptable EUROSCORE for CABG?

http://ejcts.oxfordjournals.org/content/early/2012/02/28/ejcts.ezs043.abstract

Click to access 1749-8090-4-32.pdf

What is the major limitation for EURO-SCORING system ?

It is ironical the most important determinant of any surgery is  the surgeon’s competence and institutional expertise in handling emergencies  and financial affordability  .They are  not included in the scoring .  This makes the EUROSCORE in most of the developing countries including India a futility .

Read Full Post »

This paper is to  be presented in the the Forth coming   Annual CSI meet New Delhi  December 2012

Beware of Primary PCI : Is there a Low risk STEMI where  pPCI is potentially contraindicated ?

Venkatesan Sangareddi  . Department of cardiology  . Madras Medical college

Primary PCI has proven to be the best  option for management of STEMI . But it need to be done early,  by an experienced team , in a good facility . It is not the individual expertise that matters !  Any treatment , which has great therapeutic potential  also  carries a hazard . So , these treatments  must be used with caution.  Not every STEMI patient , carry a high risk for death.  In fact , the mortality  in some of the subsets of STEMI  can be as low as 1%. If , a  STEMI patient , with a likely 1% mortality is going to get a procedure with  3 – 4 % ,risk it should (And Must !) raise a validity question  But,this issue is rarely addressed in the interventional summits.

In a case pool of 56  randomly collected primary PCIs from various institutes , the outcome  of pPCI  was analysed .It is a retrospective , observational study .STEMI was graded as high risk when one of the following features  were present and it was “low risk” when none of the feature  was  present ( Second STEMI , Extensive  anterior MI , Class 3 /4 killip, An episode of VT/VF, Complete heart block, Diabetic individuals )  High risk STEMI  constituted 22 patients .The overall in hospital  mortality  was (5/56) 9 % In high risk STEMI it was (2/22 )9.5 % in low risk  STEMI it was 3/34 6.4 % .In the corresponding period 40 patients with STEMI who were treated by only thrombolysis or heparin (If beyond time window ) was used a control . 15 patients  were in high risk In the this group the  mortality in high  risk STEMI  was (3/15 )19% and low risk STEMI  there was nil mortality (0/25) 0% .

There was an unacceptable moratlity  with  pPCI  in the low risk STEMI which fared worse than even simple administration of heparin.These data reveal a dangerous fact , that is , primary PCI does not differentiate in the procedural  risk with reference to the patient profile it deals with .While , it dramatically reduce the risk in high risk STEMI It confers a astonishing risk to low risk STEMI .The exact cause for this risk is not known . Common sense would tell , pPCI is  expertise driven driven while thrombolysis is not .Our analysis also suggest bulk of early hazard of pPCI is also logistics related.

Primary PCI could be  cautiously and consciously avoided  in  patients with  low risk STEMI even if it is technically and academically indicated. This can have a great impact in the overall outcome of STEMI management.It is suggested every STEMI patient need to be risk stratified on arrival.(It is still a mystery , why we do this for NSTEMI and not in STEMI ) . A change in the current PCI guidelines to this effect is to be considered.

Read Full Post »

A one stop  solution  for every  thing you need about  right ventricle !

http://circ.ahajournals.org/content/117/11/1436.full.pdf+html

Read Full Post »

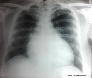
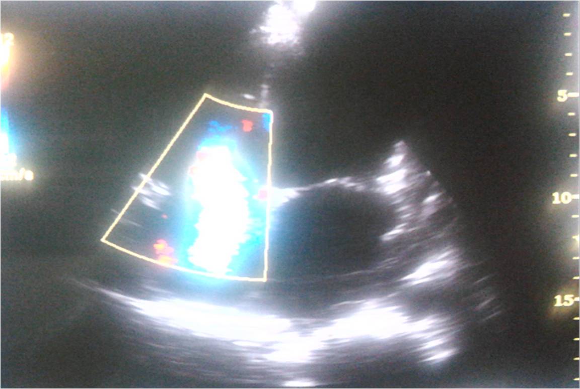
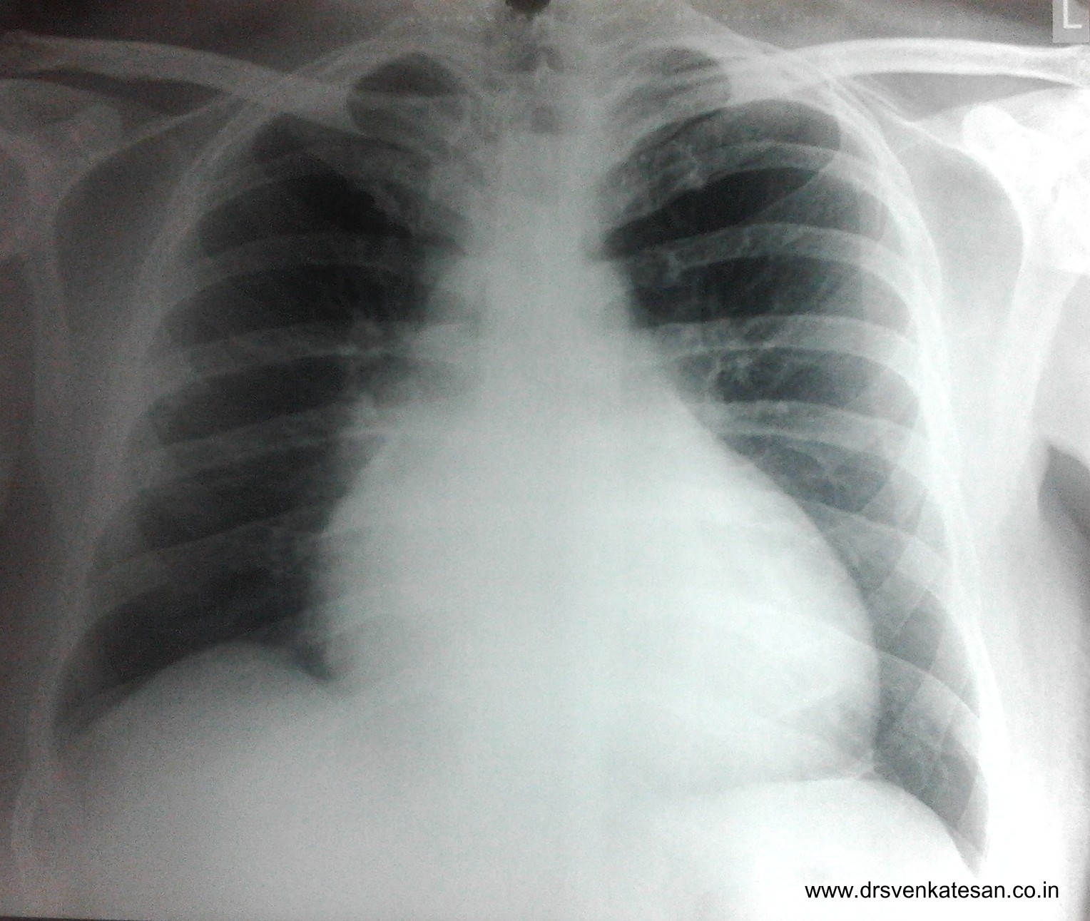
Here is a patient with class 3  dyspnea  who was referred  for echocardiography

X ray chest showing cardiomegaly

         Moderate TR due to dilatation of tricuspid annulus.This patient had dilatation of all 4 chambers of the heart.LV EF was 24 %

Right ventricular dysfunction is major determinant of  clinical outcome in patients with dilated cardiomyopathy. The  myocardium of the  entire heart is now known to be a single sheet of muscle rolled into different chambers . So any primary disease of myocardium will involve the entire musculature . This is the reason  , all the  4 chambers of heart goes for dilatation in  primary cardiomyopathy . Of course there can be minor variations  due to differential hemodynamic impact.

But it is certain ,  RV  function will definitely be compromised  In  most patients  with  Idiopathic DCM (Less common in Ischemic DCM ) Rapid assessment of RV function is difficult  . Of course We have some clues .

2 d Features

  • Simple dilatation  of RV is suffice to say it is struggling with the  loading conditions
  • Septal bowing
  • Tricuspid annular dilatation
  • RV ejection fraction (Continues to be complex for routine usage )

TR jet

  • Dp/Dt
  • Morphology may be useful (Mainly for TR severity )

Tissue doppler

  • TAPSE
  • RV strain rate Imaging etc.

And  now  , we have observed a new echocardiographic  sign   ie  TR jet alternans  in patient with  DCM .

Note the changing TR velocity implying severe RV contractile dysfunction.

Read Full Post »

Maude -E -Abbot 

The  first book on congenital  heart disease

Read Full Post »

Acute stroke /ICH/SAH/ Blood pressure is 210 /120 !

You are called in to control the BP  . . . What will you do ?

Basics

Neurogenic HT is adrenergic dependent /stress related .It is  often volume independent .Nitroglycerin worsens adrenergic  hypertension by reflex tachycardia even though it may drop the initial BP .Sustained reduction won’t happen with NTG .Further , nitroglycerine is known to elevate the intra cranial pressure and worsen  the stroke laden  cortical / brain-stem  ischemia

Best drugs

  1. Alpha methyl dopa
  2. Metoprolol
  3. Labetalol

Not best ( Worst ? )

  1. Nitroglycerine ( I guess  most  would disagree with this !  how dare you call NTG useless for   controlling HT )*
  2. Calcium blocker (It is still useful for spasm prevention in SAH)
  3. Diuretics

* IV NTG is useful in some of these patients for a instant effect. However , It has a huge risk of raising intra- cranial pressure .

Final message

Control of neurgenic HT requires correction of the primary trigger namely  the neural insult .The second best option is to stop the effects  neural signal outflow  .Adrenergic  blockers are the best way to do it . All other drugs like calcium/Nitric oxide /diuretics  are non specific  and only  provide a transient relief  and may in fact aggravate sympathetic mediated hypertension.There is no harm in giving  calcium blockers but it should always be accompanied by beta blockers to bring aggressive control .

Finally , controlling hypertension in stroke is to be done  with frequent confabulations !  with neurologists ,  as blood pressure  lowering modalities  has a competing interest with brain perfusion !

Read Full Post »

Some general rules are available

RBBB -Morphology -LV origin

LBBB morphology -RV origin

Exceptions : Interventricular  septum  is electrically  RV or LV ?

Electrically it is more of  a  LV .  Septal  focus often have RBBB morpholgy . Exist points  do  matter

Three lead  approach

Rapidly looking at lead  V1 , V6 and AVR  can give us a clue

AVR +ve  will immediately tell us the VPDs are  firing  towards right shoulder .

RBBB morphology points to  a  LV focus .

Negative VPD in V5 will further confirm  LV apex is in the trailing  end  of VPD

Common  sites  for  post MI VPD

  1. LV apex and Apical septum
  2. Infero posterio MI
  3. RV origin more common

Which VPD  morphology  has better localising value  RBBB or LBBB ?

It is  the LBBB  that has more localising value . LBBB invariably fixes the right ventricle

RBBB can either be  right ventricle or left ventricle .

To be continued .

Read Full Post »

I guess ,the art of delivering medical lectures is gradually deteriorating . This is not because of lack of young brains in teaching profession .It is primarily due to onslaught of technology  and multiple  scattered source of knowledge . I do remember some of my physiology  professors take class  in  the first year medical school  in the early 1980s  .

I wonder  I  could go back in time machine to hear the voice of Dr Kieth who delivered this grand lecture of anatomy of heart in the year 1918 .in the famed auditorium of  Royal college of surgeons . We should profusely than the BMJ for providing the text of that lecture free to us in  almost 100 years later.

By the way  . . .  for those who do not know  ,  Kieth is one of the inventor of SA node the pacemaker of the heart .

\

http://www.ncbi.nlm.nih.gov/pmc/articles/PMC2340034/pdf/brmedj06937-0003.pdf

Highlights

Read Full Post »

Answer:

Your guess  was correct  if  only it is  “C”

Reference

Suvarna JC. Watson’s water hammer pulse. J Postgrad Med  ;54:163-5 :2008

 

Read Full Post »

We frequently  hear  a comment  about  LCX angioplasty   being a  tricky intervention   . Even  many experienced cardiologists   do agree with this .

What could be the  apparent explanation for this seemingly important observation in cath lab ?

  1. The first and foremost is the anatomical  uniqueness of  origin and course of LCX. LAD is direct continuation of  left-main  , while LCX always  originate  with a  considerable angle at  it’s origin   . Further downstream  it flexes circum-ferentially over the lateral free wall of left ventricle .This  ensures  the  catheters and stents  we   maneuver often  traverse a hair pin bend  .
  2. The  endurance of  coronary stents are  put into biggest test during LCX angioplasty . While any mediocre metal stent can sit comfortably in LAD , LCX is different story altogether.(A flexible multi link  model  like that of Abbot Vision platform seems ideal . )
  3. The LCX wire crossing and exchange  is vested  with  potential  threat  to  the much important LAD circulation . Time and again , we have observed  ,  prolonged procedures  inside    LCX  some how compromise    the LAD  flow.
  4. Once the LCX is opened ( especially in  a CTO , ) there is a sort of   stealing  of LAD blood flow. We have witnessed this in  at least 2 patients , who developed  anterior  MI after opening up of LCX CTO. (Who  had a insignificant  LAD lesion )
  5. LAD may be widow maker artery ,  but it remains a fact  LCX   has much  more important role in regulating  mitral valve  papillary  muscle  . Even transient  ischemia  in  LCX territory can result in  lung congestion or even  flash pulmonary edema .This  is  fairly frequent during complex LCX angioplasty .
  6. The antero-lateral pap muscle is located in a critical location especially so in post infarct remodeled left ventricle  even minor degrees of ischemia can  create  a havoc .This is what   occurs during  flash  pulmonary edemas in LCX angioplasties.
  7. Spillover of thrombus from LCX to  LAD  can occur  during  aspiration  of   LCX  primary PCI
  8. Finally,   ECG  changes   are often blind in LCX territory . It remains an  Irony ,  we  do not monitor  the heart  with 12 leads during   sensitive procedure like a PCI.(The monitor leads easily miss LCX ischemia .This is hardly surprising,   as we know   LCX territory  has blind spots even with 12 lead ECG !)

 

Final message

It is  true LCX angioplasties can not be taken casually . One can not afford to have a prolonged procedure  within LCX.Whether dominant or not   LCX  delivers  blood supply  to more vital areas  of myocardium  that typically  includes lateral free wall and  mitral valve function .It is possible septal ischemia is  relatively well tolerated while free wall ischemia triggers an early mechanical deterioration .

Read Full Post »

Older Posts »