Presentation
A 38-year-old women,with episodic chest discomfort, mild dyspnea, and occasional non-productive cough. She was investigated in a non-emergent fashion. After an abnormal X-ray chest, A CT scan was requested. (*X-ray chest is Intentionally not posted here to add some curiosity factor)
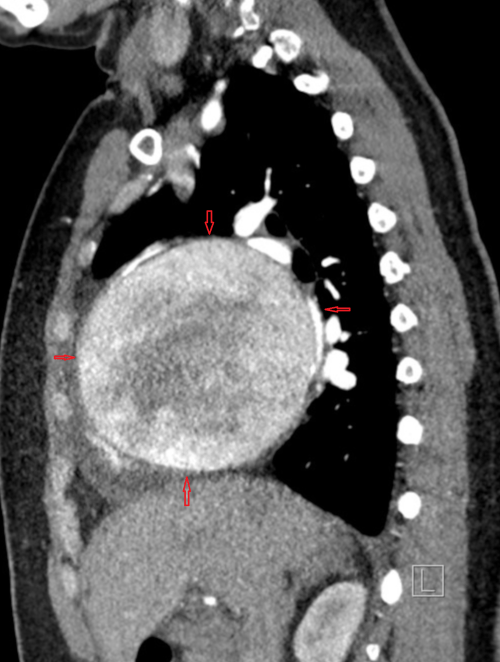
This is probably one of the most curious Images in cardiology I have stumbled upon. At the first look, it seemed a baseball has replaced a heart. Is it not?

Posted with Creative Commons Attribution License CC-BY 3.0. Afzal et al. Dept of Internal Medicine, Florida Hospital, Orlando, USA.Cureus 10(11): e3566.
When you see such a large round shadow occupying an area exclusive meant for the heart what will you think? The following thoughts came in.
- A Hydatid cyst of heart ?
- An Aneurysm from a chamber of the heart?
- Pericardial mass
- A granulomatous cardiac mass
- Aortic aneurysm?
- A mediastinal mass (Teratoma, Lymphoma)
- A foreign body?
Answer: It turned out to be none of the above. The best part is this woman was diagnosed, undergone surgery and cured of the condition.
Find out from the link and read yourself about this curious case report from online journal Cureus, . Hats off to this journal, doing a great job of dissemination of knowledge without much restriction as other peer-reviewed ones do.
Acknowledgment
Original source of Image : Afzal A, Mobin S, Sharbatji M, et al. (November 09, 2018) Rare Case of Giant Asymptomatic Left Coronary Artery Aneurysm of 10 cm Associated with Coronary Cameral Fistula. Cureus 10(11): e3566.
Reference
A review of giant coronary artery aneurysm
1.Crawley PD, Mahlow WJ, Huntsinger DR, Afiniwala S, Wortham DC: Giant coronary artery aneurysms: review and update. Tex Heart Inst J. 2014, 41:603-608. 10.14503/THIJ-13-3896

